Background: IWCLL 2008 and 2018 criteria require that all lymph nodes/nodal masses be ≤ 15mm in longest diameter (LDi) to be consistent with a CR. Lymph nodes or nodal masses >15mm in the LDi are considered abnormal. However, it has been observed that some bulky nodes may become thin and streak-like on follow-up timepoints (Figure 1) and may be normal by clinical and imaging standards (<10mm in short axis diameter) (Cheson et al Journal of Clinical Oncology, 17:1244, 1999) however, they continue to be >15mm in LDi (LDi Positive nodes- LDi+) and, hence, categorized as abnormal per iwCLL criteria. In lymphoma studies, FDG-PET negativity is the driver of CR, and residual disease on CT scan is allowed for CR. However, in the iwCLL response assessment, LDi+ nodes may prevent a true CR.
Methods: 1168 patients across multiple phase III CLL clinical trials with targeted agents were analyzed, which were independently reviewed using iwCLL 2008 and 2018 criteria. To assess the impact of LDi+ nodes, we filtered our response to finding pts who had at least one lymph node with LDi >15mm (range 15.1 to 30mm) and, thus, a PR by imaging, but all other identified nodes either resolved or <10mm in short axis and the rest of the disease burden normalized. We also evaluated clinical information on all pts (e.g., bone marrow biopsy, complete blood count (CBC), Absolute Lymphocyte Count (ALC), and other confounding factors, when available).
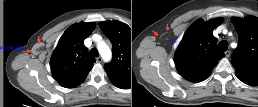
Figure 1: A large right axillary node at baseline (image on left), is reduced in size and is thin, streak like (image on right) but is abnormal as per iwCLL criteria by LDi definition.
Results:
Of 1168 pts, 161 (13.8%) had an overall response of PR because of these abnormal LDi+ nodes on imaging per iwCLL criteria, even though the rest of the disease burden had normalized and showed CR. Laboratory data (CBC and ALC) were available in all of these 161 patients and were normalized/CR. Bone marrow was available for 31 patients and was negative/CR in all of those patients in at least one follow-up assessment by both cellularity and CLL infiltration assessments (by either morphology, flow cytometry or immuno-histochemistry (IHC)). These pts continued to have a sustained response of CR for all other parameters for multiple follow up visits with a median follow up of about 6 months.
Conclusion:
Based on these data, approximately 13.8 % of pts with LDi+ nodes normal by clinical/imaging standards, clinical/laboratory parameters normalized and some with a normal bone marrow evaluation, but were labeled PR in overall assessment and denied a CR. These pts likely had achieved a CR as bone marrow is considered a gold standard for normalization of disease burden. These LDi+ lymph nodes by iwCLL criteria which are normal by clinical/imaging standards, likely represent scar tissue and not active disease based on normalization of the rest of the disease. These assessments made by stringent application of iwCLL criteria in assessing lymph nodes may result in underestimating the CR rate in a clinical trial.
We propose an adaptation of the iwCLL criteria to allow hematologists/oncologists to update/override the radiology overall assessment from PR to CR if all other components for the oncology review (e.g., blood counts, bone marrow, target lesions, organ assessments) meet CR criteria, based on clinical judgment. This approach is being used universally in daily clinical practice (as well as by the site investigators) when assessing CLL patients and these abnormal LDi+ nodes by iwCLL criteria, do not prevent a CR. This proposed approach may help to reduce site-central discordance in a clinical trial setting.
Further studies to correlate these findings with minimal residual disease in bone marrow/blood will help validate our findings.
Cheson:Trillium: Research Funding; Abbvie: Consultancy, Research Funding; Pharmacyclics: Consultancy, Research Funding; Jannsen: Consultancy; TG Therapeutics: Speakers Bureau; GSK: Membership on an entity's Board of Directors or advisory committees; Parexel: Consultancy; Kite: Consultancy; Symbio: Membership on an entity's Board of Directors or advisory committees; Morphosys: Consultancy; Karyopharm: Consultancy, Membership on an entity's Board of Directors or advisory committees.
Author notes
Asterisk with author names denotes non-ASH members.

This feature is available to Subscribers Only
Sign In or Create an Account Close Modal